ІНТУЇТИВНІСТЬ. ІНТЕЛЕКТУАЛЬНІСТЬ. ІННОВАЦІЙНІСТЬ.
ІНТУЇТИВНІСТЬ. ІНТЕЛЕКТУАЛЬНІСТЬ. ІННОВАЦІЙНІСТЬ.
Кардіологічна ультразвукова діагностична система Aplio i900 розроблена для того, щоб допомагати лікарю-клініцисту отримувати інформацію, необхідну для швидкого прийняття впевнених рішень. Вона піднімає планку якості серцево-судинних досліджень на новий рівень точності та інформативності.
Ця система надає кардіологам легкий доступ до 3D трансезофагеальних досліджень за допомогою сучасних технологій кількісної оцінки, таких як аналіз мітрального клапану (MVA).
Як прецизійна ультразвукова лабораторія, Aplio i900 може використовувати автоматизовані інструменти для аналізу та вимірювання, включаючи MPI (індекс продуктивності міокарда) та 2D і 3D оцінку скоротливості міокарду (Wall Motion Tracking). Це дозволяє навіть загруженим діагностичним центрам проводити швидкі та точні експертні кардіологічні дослідження.
Aplio i900 забезпечує кращу в своєму класі 4D-візуалізацію серця для повсякденного використання. Вона має широкий вибір компактних та легких матричних датчиків з прекрасною ергономікою та формуванням зображення.
Підтримка широкої лінійки 1.5D матричних датчиків з технологією iDMS (динамічний мікрозріз), в тому числі надвисокочастотних з частотою до 33 MHz.
Підтримка кардіологічних 3D об'ємних матричних датчиків, в тому числі і унікального черезтравохідного монокристалічного матричного 4D-TEE датчика PEI-512VX
Технології, що включені у базовий блок:
Відображення SWE – зображень, кривих та режимів на моніторі в чотирьох окремих вікнах.
Для комплексної оцінки технологія Smart Fusion дозволяє виконувати дослідження в декількох режимах візуалізації, включаючи режим колірного допплера і сканування з використанням контрастних речовин.
На чотирьох-зонному екрані відображається ультразвукове зображення в реальному часі, синхронізоване з декількома об’ємними реконструкціями раніше завантажених даних.
Технологія «компресійної еластографії» з функцією збереження вихідних "сирих" даних призначена для локалізації та оцінки жорсткості пальпованих утворень. Кількісно оцінюється різна ступінь жорсткості обраних областей, або ж одержувані зображення кодуються кольором з подальшим кількісним аналізом в відносних величинах.

Технологія Еластографія зсувної хвилі, розроблена корпорацією Canon Medical, дозволяє отримувати кількісні дані про жорсткість тканин (швидкості поширення «зсувної хвилі») і візуалізувати цю інформацію у вигляді інтелектуальних карт для різних областей клінічного застосування (від досліджень черевної порожнини до дрібних частин плода) в режимі реального часу.

Захворювання печінки є однією з основних проблем в сучасній діагностиці, з широким спектром патологій: стеатоз, запалення, фіброз, цироз, рак печінки.
Система Aplio i800 оснащена комплексом новітніх унікальних інструментів візуалізації для забезпечення необхідної діагностичної достовірності, що дозволяють визначити будь-які зміни в стані печінки.
Еластографія зсувної хвилі (ShearWave)
Дисперсія зсувної хвилі (ShearWave Dispersion)
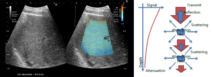
Загасання (Attenuation)

В цьому програмному комплексі еластографія зсувної хвилі включає в себе 5 інтелектульних карт:

Забезпечує можливість кількісного визначення і колірного кодування змін коефіцієнта загасання в печінці, які можуть виникнути при змінах в складі печінки (наприклад, при підвищенні рівня жиру).

Рівень достовірності вимірювань забезпечується за допомогою колірного кодування значень:
Мультипараметричний рапорт - це зведений звіт, який об'єднує результати як ультразвукового, так і зовнішніх обстежень (наприклад, аналізи крові) для отримання комбінованого результату. Ця унікальна функція об'єднання результатів декількох тестів і зведення їх в одному звіті може дати найбільш повне уявлення про стан печінки.
Результати можуть бути представлені як в табличному форматі, таки в графічному вигляді (де форма комбінованого відображення результатів може дати візуальну інформацію про взаємозв'язки між результатами).
Мультипараметричний рапорт включає всі вищезгадані (в Liver Pacage) функції для досліджень печінки:

Покращена та ще більш чутлива Технологiя вiзуалiзацiї мiкроциркуляторного русла (SMI) розширює дiапазон видимого кровотоку до рiвня деталiзацiї та дозволяє побачити низькошвидкiсний кровотiк, що ранiше було неможливо в традицiйних ультразвукових дослiдженнях.

Програма додаткового покращення в допплерівських режимах - Doppler Luminance забезпечує однорідну, легку в інтерпретації кольорову візуалізацію з високою точністю і насиченістю, навіть у найменших судинах.
Doppler Luminance забезпечує високу частоту кадрів, зберігаючи повну якість зображення в B-режимі.


Покращена та ще більш чутлива Технологiя вiзуалiзацiї мiкроциркуляторного русла (SMI) розширює дiапазон видимого кровотоку до рiвня деталiзацiї та дозволяє побачити низькошвидкiсний кровотiк, що ранiше було неможливо в традицiйних ультразвукових дослiдженнях.

Технологія «компресійної еластографії» з функцією збереження вихідних "сирих" даних призначена для локалізації та оцінки жорсткості пальпованих утворень. Кількісно оцінюється різна ступінь жорсткості обраних областей, або ж одержувані зображення кодуються кольором з подальшим кількісним аналізом в відносних величинах.

Це інноваційний клінічний інструмент, який допомагає підтвердити наявність мікрокальцифатів, що є потенційним маркером злоякісних утворень в грудях.
Переваги технології MicroPure включають:
* Поліпшення точності біопсії, завдяки постійному контролю процедури в режимі реального часу;
* Зменшення потреби в інвазивних процедурах;
* Підвищений рівень візуалізації мікрокальцифатів в грудях

Технологія Smart Fusion дозволяє об'єднувати ультразвукові зображення в реальному часі з даними КТ, МРТ або раніше отриманими ультразвуковими даними, дозволяючи легко ідентифікувати і порівнювати структури, виконувати безпечну навігацію до складних анатомічних областей

Функція Smart Navigation забезпечує безпеку і більшу впевненість при проведенні біопсійної голки. Віртуальний шлях біопсійною голки, кодований кольором, полегшує її відстеження як на класичному ультразвуковому зображенні в режимі реального часу, так і в комбінованому режимі.
Для комплексної оцінки технологія Smart Fusion дозволяє виконувати дослідження в декількох режимах візуалізації, включаючи режим колірного допплера і CEUS.
На чотирьох-зонному екрані відображається ультразвукове зображення в реальному часі, синхронізоване з декількома об’ємними реконструкціями раніше завантажених даних.


Покращена та ще більш чутлива Технологiя вiзуалiзацiї мiкроциркуляторного русла (SMI) розширює дiапазон видимого кровотоку до рiвня деталiзацiї та дозволяє побачити низькошвидкiсний кровотiк, що ранiше було неможливо в традицiйних ультразвукових дослiдженнях.

Якісна об'ємна візуалізація з високою роздільною здатністю може допомогти оцінити вагітність вже на перших етапах життя. В цьому прикладі - дихоріонічна вагітність з двійнятами на 9 тижні, де чітко визначена перегородка між обома мішками.

Обчислення об’єму шляхом контурування областей з меншою яскравістю 3D зображень, зібранних під час об’ємного сканування.

Режим Luminance забезпечує тривимірну реконструкцію одержуваних даних в природному вигляді з високою якістю і роздільною здатністю для максимально реалістичної візуалізації плода вже в першому триместрі.

У режимі Fly Thru можлива навігація по тривимірним об’ємним реконструйованим зображенням (порожнини, протоки і судини). Подібно віртуальній ендоскопії ця опція дозволяє досліджувати об'ємні новоутворення і планувати інтервенційні процедури.

Поєднуйте візуалізацію анатомічної структури і судинного кровотоку за допомогою функції Shadow Glass. Додавання ефекту напівпрозорого скла дозволяє візуалізувати деталі.

Функцiя MultiView дозволяє створювати серiї з зображень поперечних перерiзiв обраного об'ємного об'єкта.
Отримуванi серiї паралельних перерiзiв є дуже ефективним iнструментом для оцiнки ступеня патологiчних змiн i пов'язаних з ними тканинних структур. Функцiя MultiView дозволяє отримувати перерiзи в будь-якiй проекцiї з демонстрацiєю зображень поза основних осей, що ще бiльше пiдвищує дiагностичну цiннiсть даної функцiї.

Завдяки стандартним та спеціально-налаштованим користувачем протоколам оцінки фізичного та фармакологічного навантаження, Aplio пропонує комплексний пакет для швидкої та точної оцінки руху стінок.

Програма розрахунків для автоматичного розрахунку фракції викиду.

Простий у використанні інструмент автоматичного вимірювання товщини комплексу intima-media (IMT) артеріальної стінки для прогнозування ризику серцево-судинних захворювань.

Система дозволяє оперативно провести якісну і кількісну оцінку загальної і локальної скоротливості міокарда в двовимірному і тривимірному режимах. Використовуючи об'ємну технологію відстеження деформації для швидкого оцінювання функцій лівого та правого шлуночків, вона дозволяє швидко отримати високоточні діагностичні результати та на ранніх стадіях виявити серцеву недостатність та дисфункцією лівого шлуночка, серцево-легеневі хвороби та серцеву недостатність правої сторони серця.
Ці інструменти забезпечують анатомічну та функціональну оцінку клапанів, проводячи близько 40 вимірювань за 30 секунд, та допомогають лікарю при плануванні інтервенційного втручання, наприклад для операції транскатетерної заміни аортального клапана.
Виконується за допомогою трансезофагеального 4D датчика PEI-512VX.
Застосовні опції та датчики:
Покращена та ще більш чутлива Технологiя вiзуалiзацiї мiкроциркуляторного русла (SMI) розширює дiапазон видимого кровотоку до рiвня деталiзацiї та дозволяє побачити низькошвидкiсний кровотiк, що ранiше було неможливо в традицiйних ультразвукових дослiдженнях.

Технологія Еластографія зсувної хвилі, розроблена корпорацією Canon Medical, дозволяє отримувати кількісні дані про жорсткість тканин (швидкості поширення «зсувної хвилі») і візуалізувати цю інформацію у вигляді інтелектуальних карт для оцінки стану сухожиль, нервів та шкіри в режимі реального часу.

Панормане сканування для візуалізації в одному вікні органів або систем великої протяжності.
