ПРОГРЕСИВНІСТЬ. УНІВЕРСАЛЬНІСТЬ. ДОСКОНАЛІСТЬ.
ПРОГРЕСИВНІСТЬ. УНІВЕРСАЛЬНІСТЬ. ДОСКОНАЛІСТЬ.
Система Aplio a – це рішення з повним набором програмно-апаратних засобів, яке можна масштабувати для виконання самих різних діагностичних завдань. Найвища якість зображень і зручний інтерфейс допоможуть забезпечити високу продуктивність та швидкість роботи. Сучасні технології візуалізації допомагають ще більше підвищити точність одержуваних клінічних даних для найбільш складних випадків.
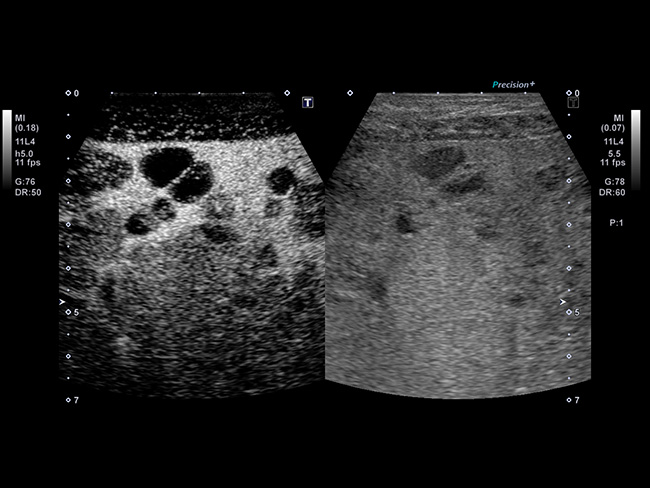
Сучасна архітектура aBeam в апаратах Aplio a-series дає можливість розкрити більше деталей на всіх глибинах сканування за рахунок електронного підвищення різкості найдрібніших фрагментів зображення.
Підтримка широкої лінійки широкополосних мультифокальних датчиків з частотою до 18 MHz.
Найновіші монокристалічні конвексні датчики в дуже компактному та легкому слім-корпусі з малою вагою
та вузькою робочою поверхнею, що
забезпечують глибоке проникнення,
високу якість візуалізації та зручність при тривалій роботі.
Технології, що включені у базовий блок:
Multiplexing - технологія паралельної обробки сигналів для перетворення величезних обсягів даних з високою швидкістю
Повністю цифрова робоча станція
CD/DVD дисковод, 5 USB портів, опційна підтримка WiFi
Блок DICOM
Цифровий відеоінтерфейс HDMI
Блок обробки "сирих" зображень Rаw Data
Режим ВЧ повтору імпульсів (HPRF)
QuickScan - постійно працюючий оптимізатор зображення
Імпульсна субтракція
Режим тканьової гармоніки
Режим диференційної тканьової гармоніки
Комплект оптимізації тканини з урахуванням її специфіки
Індекс васкулярізації - розрахунок частки судинних елементів в досліджуваному обсязі тканини на зображенні енергетичної доплерографії. Застосовується разом з лінійними датчиками.
Імпульсно-хвильовий доплерівський режим
Кольорове доплерівське картування
Енергетичний доплерівський режим
Тканинний доплер - оцінка рухливості тканних структур за допомогою допплерівської методики.
Програма Advanced Dynamic Flow - напрямлений високочутливий енергетичний допплерівський режим
Програма ApliPure Plus
Програма Precision Imaging
Трапеційне сканування
Smart 3D - генерування тривимірного зображення на основі двовимірного зображення і будь-якої заданої форми обсягу.
Beam - автоматичний режим покращення візуалізації біопсійної голки
Анатомічний М-режим. Візуалізація зображення M-режиму в проекції, довільно заданої на зображенні B-режиму.
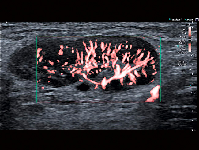
Технологiя вiзуалiзацiї мiкроциркуляторного русла (SMI) розширює дiапазон видимого кровотоку до рiвня деталiзацiї та дозволяє побачити низькошвидкiсний кровотiк, що ранiше було неможливо в традицiйних ультразвукових дослiдженнях.

Технологія «компресійної еластографії» з функцією збереження вихідних "сирих" даних призначена для локалізації та оцінки жорсткості пальпованих утворень. Кількісно оцінюється різна ступінь жорсткості обраних областей, або ж одержувані зображення кодуються кольором з подальшим кількісним аналізом в відносних величинах.

Технологія Еластографія зсувної хвилі, розроблена корпорацією Canon Medical, дозволяє отримувати кількісні дані про жорсткість тканин (швидкості поширення «зсувної хвилі») і візуалізувати цю інформацію у вигляді інтелектуальних карт для різних областей клінічного застосування (від досліджень черевної порожнини до дрібних частин плода) в режимі реального часу.

Програма додаткового покращення в допплерівських режимах - Doppler Luminance забезпечує однорідну, легку в інтерпретації кольорову візуалізацію з високою точністю і насиченістю, навіть у найменших судинах.
Doppler Luminance забезпечує високу частоту кадрів, зберігаючи повну якість зображення в B-режимі.


Технологiя вiзуалiзацiї мiкроциркуляторного русла (SMI) розширює дiапазон видимого кровотоку до рiвня деталiзацiї та дозволяє побачити низькошвидкiсний кровотiк, що ранiше було неможливо в традицiйних ультразвукових дослiдженнях.

Технологія «компресійної еластографії» з функцією збереження вихідних "сирих" даних призначена для локалізації та оцінки жорсткості пальпованих утворень. Кількісно оцінюється різна ступінь жорсткості обраних областей, або ж одержувані зображення кодуються кольором з подальшим кількісним аналізом в відносних величинах.

Це інноваційний клінічний інструмент, який допомагає підтвердити наявність мікрокальцифатів, що є потенційним маркером злоякісних утворень в грудях.
Переваги технології MicroPure включають:
* Поліпшення точності біопсії, завдяки постійному контролю процедури в режимі реального часу;
* Зменшення потреби в інвазивних процедурах;
* Підвищений рівень візуалізації мікрокальцифатів в грудях

Технологія Smart Fusion дозволяє об'єднувати ультразвукові зображення в реальному часі з даними КТ, МРТ або раніше отриманими ультразвуковими даними, дозволяючи легко ідентифікувати і порівнювати структури, виконувати безпечну навігацію до складних анатомічних областей

Функція Smart Navigation забезпечує безпеку і більшу впевненість при проведенні біопсійної голки. Віртуальний шлях біопсійною голки, кодований кольором, полегшує її відстеження як на класичному ультразвуковому зображенні в режимі реального часу, так і в комбінованому режимі.
Для комплексної оцінки технологія Smart Fusion дозволяє виконувати дослідження в декількох режимах візуалізації, включаючи режим колірного допплера і CEUS.
На чотирьох-зонному екрані відображається ультразвукове зображення в реальному часі, синхронізоване з декількома об’ємними реконструкціями раніше завантажених даних.


Технологiя вiзуалiзацiї мiкроциркуляторного русла (SMI) розширює дiапазон видимого кровотоку до рiвня деталiзацiї та дозволяє побачити низькошвидкiсний кровотiк, що ранiше було неможливо в традицiйних ультразвукових дослiдженнях.

Якісна об'ємна візуалізація з високою роздільною здатністю може допомогти оцінити вагітність вже на перших етапах життя. В цьому прикладі - дихоріонічна вагітність з двійнятами на 9 тижні, де чітко визначена перегородка між обома мішками.

Обчислення об’єму шляхом контурування областей з меншою яскравістю 3D зображень, зібранних під час об’ємного сканування.

Режим Luminance забезпечує тривимірну реконструкцію одержуваних даних в природному вигляді з високою якістю і роздільною здатністю для максимально реалістичної візуалізації плода вже в першому триместрі.

Функцiя MultiView дозволяє створювати серiї з зображень поперечних перерiзiв обраного об'ємного об'єкта.
Отримуванi серiї паралельних перерiзiв є дуже ефективним iнструментом для оцiнки ступеня патологiчних змiн i пов'язаних з ними тканинних структур. Функцiя MultiView дозволяє отримувати перерiзи в будь-якiй проекцiї з демонстрацiєю зображень поза основних осей, що ще бiльше пiдвищує дiагностичну цiннiсть даної функцiї.

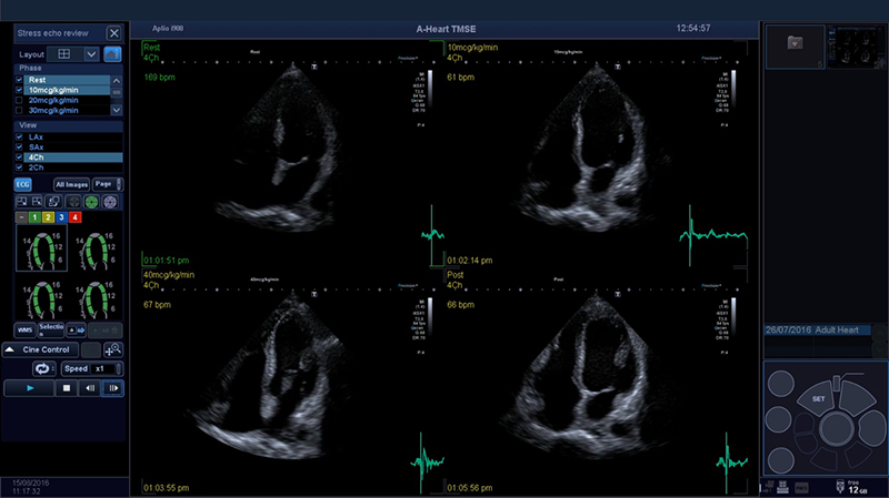
Завдяки стандартним та спеціально-налаштованим користувачем протоколам оцінки фізичного та фармакологічного навантаження, Aplio пропонує комплексний пакет для швидкої та точної оцінки руху стінок.

Система дозволяє оперативно провести якісну і кількісну оцінку загальної і локальної скоротливості міокарда в двовимірному режимі. Використовуючи технологію відстеження деформації для швидкого оцінювання функцій лівого шлуночку, вона дозволяє швидко отримати високоточні діагностичні результати та на ранніх стадіях виявити серцеву недостатність та дисфункцією лівого шлуночка серця.

Програма розрахунків для автоматичного розрахунку фракції викиду.

Простий у використанні інструмент автоматичного вимірювання товщини комплексу intima-media (IMT) артеріальної стінки для прогнозування ризику серцево-судинних захворювань.

Застосовні опції та датчики:
Технологiя вiзуалiзацiї мiкроциркуляторного русла (SMI) розширює дiапазон видимого кровотоку до рiвня деталiзацiї та дозволяє побачити низькошвидкiсний кровотiк, що ранiше було неможливо в традицiйних ультразвукових дослiдженнях.

Технологія Еластографія зсувної хвилі, розроблена корпорацією Canon Medical, дозволяє отримувати кількісні дані про жорсткість тканин (швидкості поширення «зсувної хвилі») і візуалізувати цю інформацію у вигляді інтелектуальних карт для оцінки стану сухожиль, нервів та шкіри в режимі реального часу.

Панормане сканування для візуалізації в одному вікні органів або систем великої протяжності.
